
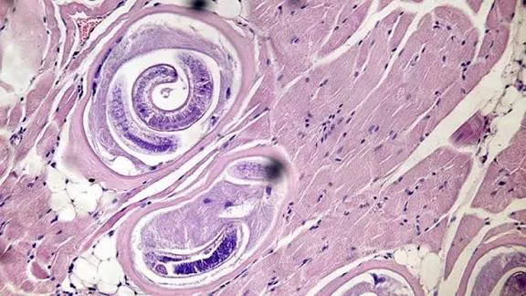
Preocupación por la triquinosis debido al consumo de cerdo en las fiestas
Autoridades sanitarias advierten sobre los riesgos de consumir carne de cerdo sin controles y recuerdan que ni el frío ni la cocción común eliminan la enfermedad.
Miguel Olobardi, director de Seguridad Alimentaria de la Municipalidad de San Lorenzo, brindó precisiones sobre una alerta de ANMAT vinculada a un lote de queso cremoso de la marca La Serenísima.
Salud16 de diciembre de 2025
Sandra MorenoEscuchá la nota completa. Click acá
Miguel Olobardi, director de Seguridad Alimentaria de la Municipalidad de San Lorenzo, dialogó con La Radio 93.5 acerca de la alerta emitida por la ANMAT sobre un lote de queso cremoso de la marca La Serenísima.

Durante la entrevista, Olobardi explicó las características de la bacteria detectada en el producto, los posibles riesgos para la salud y las consecuencias que puede generar su consumo, especialmente en los grupos considerados de riesgo.
Además, detalló cómo funciona el protocolo operativo que se activa cuando se reciben este tipo de alertas sanitarias, señalando los pasos que se siguen para la identificación del producto, su retiro preventivo del mercado y la comunicación a los comercios y a la población.
Desde el área de Seguridad Alimentaria remarcaron la importancia de respetar las alertas oficiales y verificar la información de los productos involucrados para evitar riesgos en la salud de los consumidores.

Autoridades sanitarias advierten sobre los riesgos de consumir carne de cerdo sin controles y recuerdan que ni el frío ni la cocción común eliminan la enfermedad.

La Anmat confirmó la presencia de listeria en un lote de queso Cremón Doble Crema. La empresa activó un retiro preventivo y suspendió la producción de la línea.

La provincia recurrió a la Justicia ante la baja en la vacunación infantil y el rebrote de enfermedades prevenibles. Las presentaciones ya están en el fuero Civil.

¿Las cremas antiarrugas funcionan como prometen en la TV? La dermatóloga Fernanda Gómez lo explicó en La Radio 93.5

La dermatóloga Fernanda Gómez recordó la importancia de usar protector solar incluso para actividades diarias y no solo en la pileta o la playa.

El secretario de Salud municipal, Eduardo Ros, confirmó en La Radio 93.5 que los estudios realizados a una familia de San Lorenzo, ya que un integrante había estado en contacto con una persona con sarampión, arrojaron resultados negativos.

Desde la Policía de Investigaciones advierten sobre un aumento de estafas en supuestos alquileres a bajo precio en San Lorenzo y la región.

El secretario general del Sindicato de Camioneros de Santa Fe advirtió sobre el deterioro de caminos y rutas y reclamó planificación y diálogo para mejorar el acceso a los puertos.

El secretario general del SUPA Puerto General San Martín, Aníbal Cabrera, dialogó con La Radio 93.5 sobre las acciones que el gremio desarrolla para fortalecer la seguridad de los trabajadores portuarios.

El Gobierno de Timbúes informó que ya se encuentran abiertas las inscripciones para la Colonia de Vacaciones Verano 2026, una propuesta gratuita destinada a niñas y niños de la localidad.

El presidente de la Cooperativa de Trabajos Portuarios realizó un balance del año laboral y se refirió a los proyectos a futuro vinculados a posibles inversiones en nuevos puertos.